Oaks Dental

ÀüÈÄ»çÁø

ÀüÈÄ»çÁø Ä¡·á ÀüÈÄ»çÁø

01

Ä¡¾Æ±³Á¤ (ÀκñÀý¶óÀÎ)

Case.1


Case.2


Case.3


02

¶ó¹Ì³×ÀÌÆ®

Case.1


Case.2


Case.2_2


Case.3


Case.3_2


Case.4


Case.5


Case.6


03

ÀÓÇöõÆ®

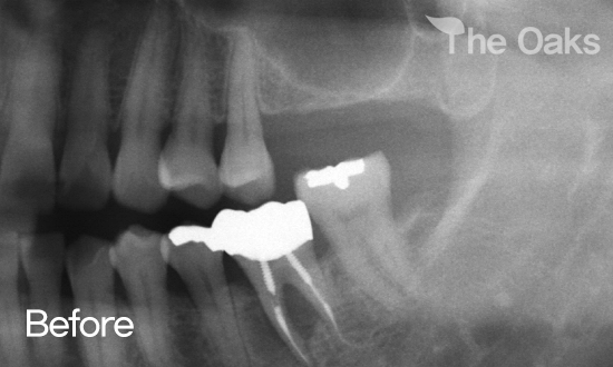
Case.1

ÀÓÇöõÆ® Ä¡·á¸¦ ¹ÞÀ¸½Å Á¤OO´Ô ÀüÈÄ»çÁø°ú ÈıâÀÔ´Ï´Ù.
50´ë ÈĹÝÀÇ ³²¼º ȯÀÚºÐÀ̽ðí, Ä¡·á Àü ÀÕ¸ö¿°ÁõÀ¸·Î ÀÎÇÑ Ä¡¾Æ Èçµé¸²À¸·Î ³»¿øÇϽŠÄÉÀ̽ºÀÔ´Ï´Ù.
¿°Áõ ¹®Á¦·Î »À¼Ò½ÇÀÌ Å« °ü°è·Î »ÀÀÌ½Ä ÈÄ º¯È­¸¦ üũÇÏ¿´°í,  ¼ö¼ú¿¡ ÀûÇÕÇÑ »óÅ¿¡¼­ ÀÓÇöõÆ® ¼ö¼úÀ» ÁøÇàÇÏ¿´½À´Ï´Ù.
¾ÈÁ¤ÀûÀ̰í Á¤È®ÇÑ º¸Ã¶¹° ½Ä¸³ ÀÌÈÄ ÇöÀç±îÁöµµ ȯÀںв²¼­ ÃæºÐÈ÷ ¸¸Á·½º·´°í µçµçÇÏ°Ô »ç¿ëÇÏ°í °è½Ê´Ï´Ù.

Case.2

±èOO´Ô 48¼¼ ¿©¼º
¿ÞÂÊ À§ #26,27 Ä¡¾Æ»ó½Ç·Î ÀÎÇØ, ÀÓÇöõÆ® ¼ö¼úÀÌ ÇÊ¿äÇÏ¿© ³»¿ø
ÀÓÇöõÆ® ½Ä¸³À» ÇØ¾ß ÇÒ À§Ä¡ÀÇ »À°¡ ¸¹ÀÌ ºÎÁ·ÇÑ »óÅ¿©¼­
»ó¾Çµ¿°Å»ó¼ú (SINUS window opening)À» ÅëÇØ »ó¾Çµ¿¸·À» µé¾î ¿Ã·Á »ÀÀÌ½Ä ÈÄ ÀÓÇöõÆ® ½Ä¸³À» ÇÑ ÄÉÀ̽º ÀÔ´Ï´Ù.

04

ÃæÄ¡Ä¡·á

Case.1


05

½ºÄ̸µ

Case.1


Case.2


Oaks Dental Clinic

¿Á½ºÄ¡°ú